Avertismentul unui medic militar după ce a văzut plămânii unui pacient infectat cu COVID

Avertismentul unui medic militar după ce a văzut plămânii unui pacient infectat cu COVID
Există multe forme atipice de Covid-19 şi că ar trebui ca autorităţile să schimbe definiţia de caz existentă
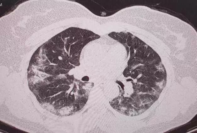
Doctorul Alexandru Cezar Andriţoiu, de la Spitalul Clinic de Urgenţă Militar "Dr.Ştefan Odobleja", din Craiova, a făcut publice, pe Facebook, două fotografii cu plămânii infectaţi ai unei femei care nu prezenta comorbidităţi, nu avea simptome specifice Covid-19, iar saturaţia în oxigen era, spune acesta, foarte bună.
Andriţoiu a explicat, pe Facebook, că există multe forme atipice de Covid-19 şi că ar trebui ca autorităţile să schimbe definiţia de caz existentă. În caz contrar, mulți pacienți nu pot fi depistaţi ca fiind infectați cu coronavirus, scrie realitatea.net
"Forme atipice de Covid-19. Toţi medicii care se confruntă cu patologia Covid-19 ar trebui să se gândească la această boală şi în cazul unui pacient cu simptome "ciudate" apărute în plină stare de sănătate! Unii mă vor întreba ce înţeleg prin simptome ciudate! Medicii înteleg ce spun! Astăzi am depistat un caz de Covid 19 la o pacientă relativ tânără, fără febră, fără tuse... fără niciun simptom considerat tipic sau sugestiv pentru Covid-19! Faptul ca am folosit ecografia pulmonară ce mi-a relevat modificări sugestive, m-a convins de necesitatea unui examen CT pulmonar. Examinarea tomografică a fost concludentă. Ulterior, a urmat şi confirmarea serologică. Simptomele pacientei erau doar astenie marcată, ameţeli, somnolenţă. Saturaţia in oxigen 98%! Fără comorbidităţi!", a scris medicul, pe contul personal, postând și mai multe fotografii cu plămânii pacientei.

"Opacităţi "în sticla mată" dispuse la periferia plămânilor...foarte concludente...", a scris dr. Alexandru Andriţoiu, în dreptul imaginii.

"Imagine de ecografie pulmonară cu o bandă albă în spatele pleurei -Linii B confluente- sugestivă pentru inflamaţia alveolo-interstiţială", a explicat acesta.
"Concluzie: este nevoie de un Registru National de semne si simptome tipice si atipice ale infecţiei cu noul coronavirus! Definiţia de caz folosită în prezent este o aiureală!", a mai spus medicul.
Sursa: Realitatea de Realitatea Medicala
Citește și:
- 09:12 - Semnele deficitului de vitamina B12
- 08:57 - Ce se întâmplă în corp dacă bei apă imediat după trezire
- 08:52 - Ce înseamnă TSH crescut? Cauze, simptome și când trebuie să mergi la medic
- 11:08 - Ce trebuie să ai în trusa medicală de acasă: ghid esențial pentru situații de urgență și îngrijire de bază
Mai multe articole despre
Urmărește știrile Realitatea Medicala și pe Google News














