Cercetătorii americani au descoperit o mutație care sporeşte capacitatea de infecţie a virusului SARS-CoV-2

Cercetătorii americani au descoperit o mutație care sporeşte capacitatea de infecţie a virusului SARS-CoV-2
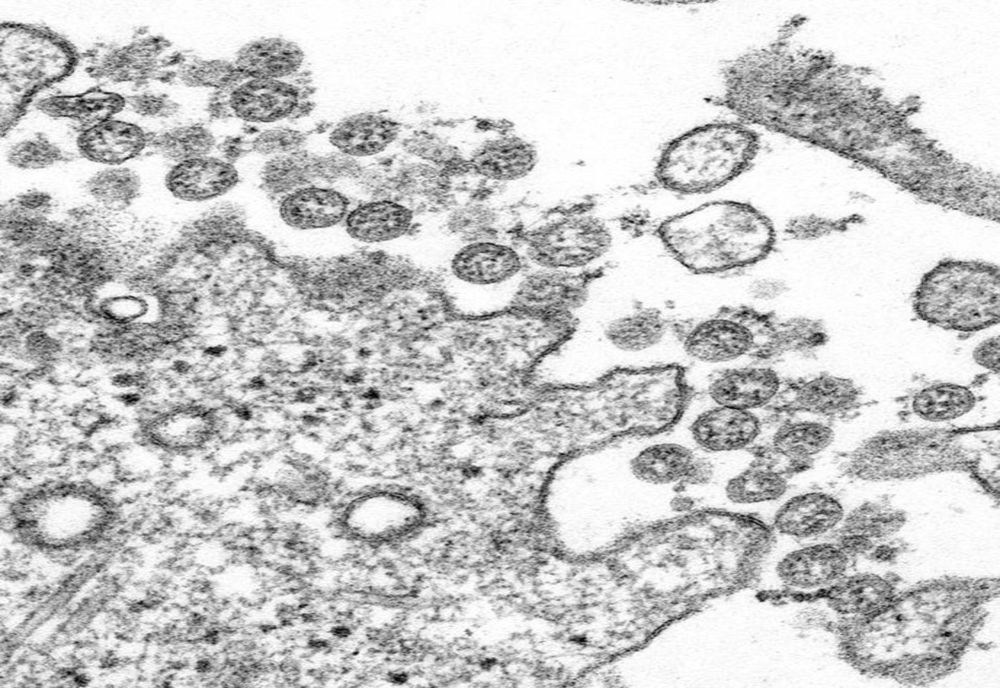
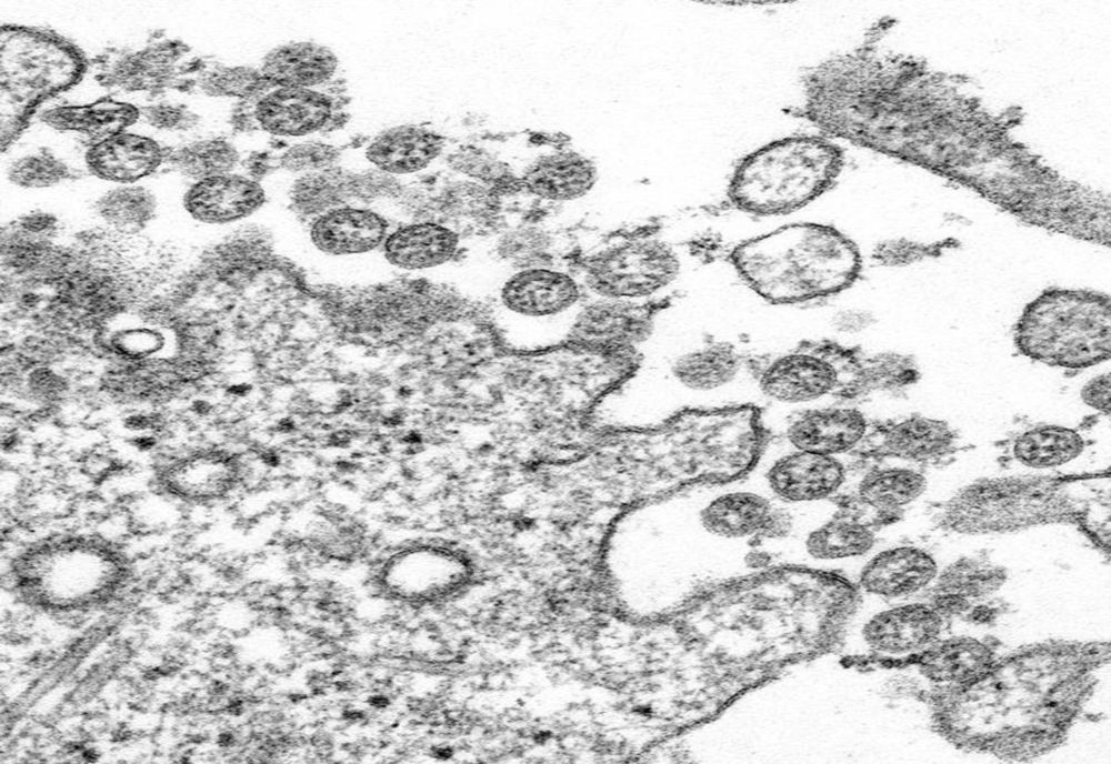
Aceste spicule glicoproteice, care dau aspectul de coroană sferică virusului, îl ajută să infecteze cu ajutorul receptorilor celulari ACE2
O echipă de oameni de ştiinţă de la Institutul de Cercetări Scripps din Florida a descoperit o mutaţie genetică la coronavirusul SARS-CoV-2 care îi sporeşte semnificativ capacitatea de a infecta celulele, potrivit unui comunicat al instituţiei citat de EFE.
Virusologa Hyeryun Choe, principala autoare a studiului, a declarat că a putut determina în celulele de cultură că prin această mutaţie "virusul devine mult mai contagios". Această mutaţie denumită D614G sporeşte de între 4 şi 5 ori numărul, sau densitatea particulelor virale infecţioase (denumite virioni), care prezintă pe înveliş spicule glicoproteice proeminente, ce formează coroana virusului.
Aceste spicule glicoproteice, care dau aspectul de coroană sferică virusului, îl ajută să infecteze cu ajutorul receptorilor celulari ACE2.
Potrivit comunicatului Institutului de Investigaţii Scripps, cu sediu în Jupiter (sud-estul din Floridei), varianta virusului SARS-CoV-2 care a circulat în primele infecţii nu prezenta mutaţia D614G, care acum este versiunea dominantă în marea parte a lumii.
Potrivit lui Michael Farzan, coautor al cercetării şi copreşedinte al Departamentului de Imunologie şi Microbiologie al Scripps, niciuna dintre secvenţele virusului SARS-CoV-2, depozitate în baza de date ale GenBank nu are această mutaţie.
În martie, mutaţia deja apărea în 4 mostre, iar în luna mai era prezentă în 70 % dintre mostre, potrivit cercetătorului american.
Choe şi Farzan, care au realizat studiul pe un virus inofensiv creat special pentru a produce proteine cheie ale coronavirusului, avertizează că va fi nevoie de studii epidemiologice suplimentare pentru a verifica dacă eficacitatea contagierii celulelor se produce şi în lumea reală.
Ambii cercetători studiază coronavirusul de aproape 20 de ani, când a izbucnit primul focar de SARS, iar în 2003 au fost printre primii care au descoperit că acest virus se foloseşte de receptorii celulari ACE2, cum face şi SARS-CoV-2.
Citește și:
- 09:44 - Scoția introduce screeningul neonatal pentru atrofia musculară spinală
- 10:53 - Revoluție în medicină: Inteligența Artificială poate prezice Alzheimer cu o precizie de 93%
- 15:09 - Japonia autorizează primele terapii cu celule stem reprogramate pentru Parkinson și insuficiență cardiacă
- 14:56 - Testul de sânge care detectează peste 50 de forme ale cancerului înainte de simptome
Mai multe articole despre
Urmărește știrile Realitatea Medicala și pe Google News














